
At first Jarina Bibi thought it was indigestion.
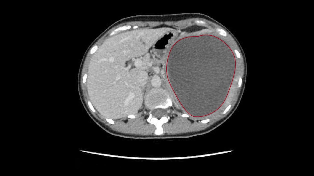
The 29-year-old had no idea it was a potentially fatal watermelon-sized parasitic cyst growing on her liver.
Five hours of surgery were required to defuse the "toxic timebomb".
Her spleen was removed, along with parts of her liver and pancreas.
Now her "nightmare" is finally over, a recovering Ms Bibi wants to raise awareness about hydatid disease.
Ms Bibi arrived in Brisbane in 2015 from India to study.
She was unaware she had already contracted the disease, also known as hydatidosis or echinococcosis.
Mostly found in Central Asia and South America, hydatid disease occurs when tapeworm larvae lodge in the body and form large, potentially dangerous cysts.
"Jarina is quite small and, given the size of this cyst, if she had received a significant blow to her stomach there’s a real possibility it would have burst," Mater Private Hospital Brisbane's Dr Mehan Siriwardhane said.
"If the cyst ruptures, the fluid inside contains a protein that is poisonous to humans and it can cause the person to go into anaphylactic shock and die."
Humans are infected with hydatid disease through ingestion of parasite eggs in contaminated food, water or soil and can also contract it through direct contact with animal hosts.

Ms Bibi first felt discomfort in her abdomen. Then her symptoms got worse.
When she started vomiting and became constipated, Ms Bibi was referred to Mater Private Hospital Brisbane where scans helped identify the disease.
Mater director of infectious diseases Paul Griffin quickly concluded surgery was necessary for her "extreme case".
“The infection is not often seen in Australia. It’s a challenging disease to treat," Dr Griffin said.
Dr Siriwardhane took her case to a forum of international specialists where doctors from Myanmar who were familiar with the disease identified how best to treat Ms Bibi.
"We eventually ended up using a combination of techniques, medical and surgical, based on some of the input we got from those doctors," Dr Siriwardhane said.
"During the five hour surgery we removed part of Jarina's liver, her whole spleen and part of her pancreas to make sure we removed all of the disease."
The main concern was the watermelon-sized cyst on her liver.
Two secondary cysts - the size of a rockmelon and a tennis ball respectively - were also removed.
Ms Bibi, who lives in Calamvale in Brisbane's south, hopes to make more people aware of hydatid disease - and that help is available.
"I do cry sometimes at the thought of something that size being inside of me for such a long time. It was like a nightmare. It still haunts me," she said.
"It was so difficult and stressful, but I'm feeling so much better now.
"I want other people to be aware of this disease and to know that help is available to them should they ever be affected."