
A routine doctor's check-up saved the life of a Brisbane retiree after an aggressive, rare tumour weighing two kilos was found in his liver.
Father-of-three Barrie Tibbetts had no symptoms when he went to see his general practitioner for a check-up but Kerrie Hulett noticed his liver function test results were “slightly abnormal”.
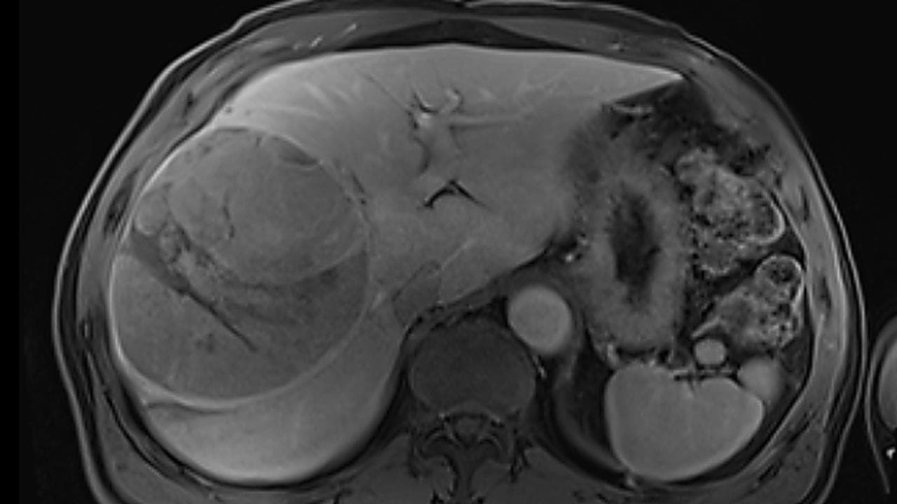
Mr Tibbetts had a liver condition many years ago which sparked alarm bells so Dr Hulett organised an ultrasound which showed a major mass.
“I was non-symptomatic, I couldn’t believe it,” Mr Tibbetts said.
The 67-year-old was rushed to Mater Private Hospital in Brisbane to remove the 15cm aggressive hepatocellular carcinoma (HCC) tumour.

“I had more scans just before having surgery and the mass had become so large it was creeping up into my diaphragm," Mr Tibbetts said.
Without surgery, Mr Tibbetts would have died.
“It is hard to know how long that would take but it was likely growing quite quickly, likely months,” surgeon Joel Lewin said.
The delicate surgery took six hours in July with Dr Lewin making a large incision in the abdomen instead of keyhole surgery due to the size of the tumour.
“The tumour occupied the majority of the right side of the liver, making surgical resection challenging,” Dr Lewin said.

This type of cancer affects around five-in-every 100,000 people but Mr Tibbett's tumour is the largest Dr Lewin has removed.
Mr Tibbetts is making a full recovery after the surgery with his three-monthly imaging revealing a positive prognosis.
He is now looking forward to travelling around Australia with his wife Leslie in a new camper van.
“After getting the good news just a few weeks ago, we thought this would be a nice way to celebrate,” Mr Tibbetts said.